L’orthopédie dento-faciale est la correction de la taille des maxillaires ou du rapport entre les deux maxillaires par équilibration fonctionnelle et squelettique pour une croissance de la face harmonieuse.

Je vous souhaite la bienvenue sur notre site.
Dr Corinne Landel-Vallais
Présentation de l'équipe
Vous êtes chez un spécialiste qualifié en ODF ou Orthodontiste : Diplôme d’état obtenu au bout de 3 ans d’internat après le Doctorat en Chirurgie-Dentaire, soit 9 ans d’études. Il est qualifié pour détecter et corriger toutes les malformations dento-maxillo-faciales de la plus simple à la plus compliquée.
Première consultation
Le jour de la consultation, un examen clinique et des examens complémentaires seront réalisés afin d’établir un diagnostic. Toutes les explications concernant la ou les pathologies observées et le projet de traitement vous seront donnés. A l’issue de ce rendez-vous, un devis sera remis, il devra nous être retourné signé si vous souhaitez débuter le traitement.
-
LE TRAITEMENT D’ORTHOPÉDIE DENTO-FACIALE NE PEUT ÊTRE RÉALISÉ QU’APRÈS UN EXAMEN APPROFONDI:
Examen clinique.
Examen des radiographies:
– Radiographie de face et de profil pour l’étude squelettique.
– Radiographie panoramique pour l’étude dentaire.
-
HONORAIRES
Consultation : 23€
Diagnostic : 60€ (remboursement par la caisse d’assurance maladie : 32.24€)*.
Les radiographies : téléradiographie de profil et de face 19.95€* et radio panoramique 19.95€.
*Remboursement pour les moins de 16 ans
LES SOLUTIONS THÉRAPEUTIQUES

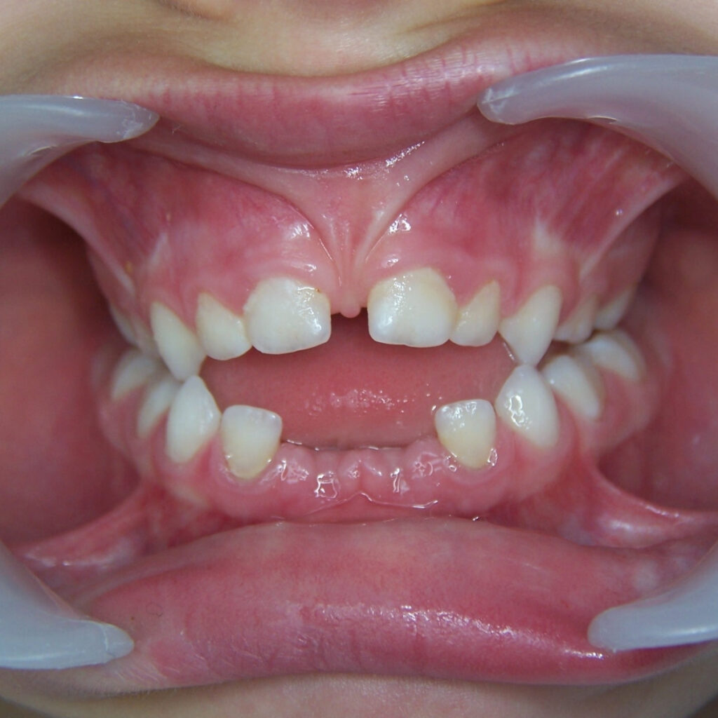
La succion du pouce ou de la tétine peut générer des malformations de type béance ou un décalage entre les incisives supérieures et inférieures.


La succion du pouce ou de la tétine peut générer des malformations de type béance ou un décalage entre les incisives supérieures et inférieures.


Des appareils orthopédiques corrigent des problèmes de croissance des maxillaires comme présenté ici :

De nos jours, il existe plusieurs techniques offrant des avantages esthétiques et de grandes performances. Les produits et les techniques utilisés ont été sélectionnés pour ces raisons. Selon la pathologie, telle ou telle technique est plus appropriée. Si plusieurs techniques sont proposées, alors le choix appartient au patient, informé des avantages, des inconvénients et des contraintes.

Des brackets ou attaches autoligaturants, des arcs de dernière génération délivrent des forces légères et efficaces pour déplacer les dents. Il en résulte des pressions douces sur les dents pour un meilleur confort. Les brackets ou attaches autoligaturants transparents ne « jaunissent » pas.

Le système lingual est constitué de brackets ou attaches réalisés sur-mesure, fixés à la face intérieure des dents. Rien n’est visible de l’extérieur. Les dents sont corrigées en toute discrétion.

Une série d’aligneurs amovibles et discrets corrigent la position des dents. A chaque changement d’aligneur, les dents se déplacent petit à petit, semaine après semaine, jusqu’à la position finale prescrite.
CONSEILS & ACTUALITÉS
Voici plusieurs fiches conseils qui répondront à vos questions et peuvent être utiles en cas d’urgence.
LE CABINET EN IMAGES
C’est ici que nous exerçons et prenons soin de vos dents.
Le cabinet
Accueil et secrétariat
Salle de radiologie
Salle d'attente
Salle de Stérilisation
Salle de soins
Salle de soins
Le bureau
Prendre rendez-vous au cabinet
Un secrétariat médical est à votre disposition du lundi 9h au samedi 12h.
-
Le cabinet
Retrouvez-nous au :
13 Rue d’Angleterre,
45000 Orléans.
Tél: 02.38.53.97.64 (Pour prendre rendez-vous)
-
Stationnements
– Parkings des Carmes, St Paul et Cheval Rouge
– Parcs tram avec arrêts De Gaulle ou Royal Châtelet
– Accès handicapés
Cliquez ici pour trouver les parkings autour de notre cabinet
-
Horaires
Lundi : 9h à 13h – 15h à 19h *
Mardi : 9h à 13h – 15h à 19h
Mercredi : 9h à 12h – 14h à 19h *
Jeudi : 9h à 12h – 13h à 16h
Vendredi : 9h à 13h – 15h à 19h
Samedi : 8h30 à 12h30 *
* Cabinet ouvert une semaine sur deux.
Ces horaires sont susceptibles d’être modifiés pendant les vacances scolaires.




















